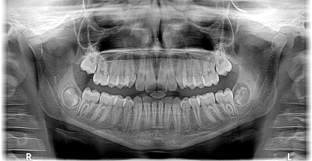
親知らず抜歯

当院では、大学病院でしか抜けないと言われた親知らずも、精密な診査・診断をした上で、基本的に抜くことが出来ます。また、時間のない患者様のために、即日抜歯・複数本の抜歯にも対応していますので、1回で済ませたい方は是非ご相談ください。
安全なインプラント

専門医によるインプラント埋入が可能。最新機器を用いた安全設計で、メスを使わない痛くない、腫れない手術です。
寝ている間に治療できる「点滴麻酔」も可能ですので、寝て起きたら手術が終わっています。
土日祝診療急患受付

平日は中々歯医者に行けない…そんな方でも通いやすいよう土日祝日も診療しております。また、急患受付も随時行っておりますので(最終受付18:30)、急激な痛みなどありましたらすぐご連絡ください。
キッズルーム

お子様連れでも安心して診療していただけるよう、院内にキッズルームを完備。お母さん・お父さんが診療中に、お子様には遊んで待っていてもらうことが出来ます。
マチナカの好立地

イオンモール仙台上杉さんの2Fに開院。
無料駐車場1500台の、通いやすい医院です。
院内バリアフリー

限りなく段差を無くした設計で、
車椅子でも診療可能です。
〒983-0803
〒982-0011
〒981-3133
〒980-0011
〒980-0021
〒272-0034